ORTODONCIA CONVENCIONAL | Brackets

Brackets en Madrid
Ventajas de los Brackets
Altamente resistentes
Los Brackets convencionales, al estar hechos de metal, es difícil que se rompan. En cuanto a los Brackets estéticos cerámicos, elegimos los Brackets más resistentes en el mercado cuya calidad eliminan el riesgo de roturas.
Los Brackets son efectivos
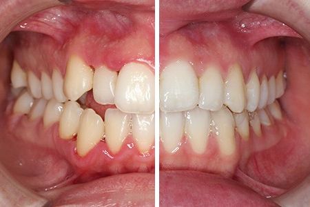
Han demostrado su eficacia a lo largo del tiempo, se pueden lograr movimientos precisos y controlados fáciles de predecir para el éxito del tratamiento.
Son más económicos.
El precio de los Brackets metálicos convencionales es el significativamente más económico de toda la gama de tratamientos de ortodoncia, seguido por todos los tipos de Brackets cementados en el exterior de los dientes.
“Ortodoncista en Madrid especialista en Ortodoncia con Brackets Estéticos ”
CLÍNICA DENTAL SALUD NATURAL ONE
Ofrecemos una
Ortodoncia Convencional moderna y actual

Tu mejor sonrisa con Brackets
MOTIVOS PARA HACER UN TRATAMIENTO DE ORTODONCIA
- Alinear tus dientes
- Mejorar tu mordida y evitar desgastes innecesarios en tus dientes
- Abrir o cerrar espacio entre dientes
- Corregir deformidades faciales y problemas esqueléticos graves
- Dolor de ATM (articulación de la mandíbula)


- Brackets metálicos
Los brackets usados son “Low-profile”, es decir de perfil bajo, son los brackets más modernos, pequeños, con un perfil muy plano y fino y con acabados redondeados que ofrece al paciente una comodidad máxima y permitiendo la correcta higiene. - Brackets de autoligado o de baja fricción
Son unos brackets con un mecanismo de cierre moderno que elimina la necesidad de ligar el alambre a los brackets con las ligaduras (las típicas gomitas). Al no llevar ligaduras se reducen las incomodidades que aparecen por la necesidad de ligar como en los brackets convencionales y gracias a la baja fricción los dientes se nivelan de manera más rápida y con la aplicación de fuerzas menores. - Brackets estéticos cerámicos
Ofrecen tanto estética como eficiencia en el tratamiento. Su diseño de forma redondeada y de bajo perfil que aumenta la comodidad del paciente, la retirada de los brackets es sencilla y no se tiñen ni se manchan con los alimentos ni el tabaco. - Brackets de autoligado estéticos
Proporcionan todas las ventajas de los brackets de autoligado con las ventajas añadidas de los brackets estéticos, proporcionando un ajuste suave, cómodo y duradero para poder tratar cualquier maloclusión. - Brackets estéticos transparentes
Están hechos de zafiro monocristalino (el zafiro es un mineral extremadamente duro, compuesto de óxido de aluminio), son transparentes como el cristal y muy discretos, casi invisibles independientemente del color de los dientes del paciente, ya que al ser transparentes transmiten el color original del diente.
CLÍNICA DENTAL SALUD NATURAL ONE
Servicios
Dentales de la Clínica
CLÍNICA DENTAL SALUD NATURAL ONE
Preguntas Frecuentes
sobre Brackets
Los brackets se colocan en dientes definitivos, por lo tanto cuando ya tenemos todos los dientes definitivos en boca ya podemos empezar, esto suele suceder alrededor de los 11-12 años. Antes de esta edad se pueden colocar otro tipo de aparatos para resolver problemas que requieran una intervención temprana.
Especialistas en Ortodoncia con Brackets Estéticos, ¡solicita una cita con nosotros!
Opiniones de pacientes
de la Clínica Dental Salud Natural One
Son variadas las opiniones recogidas de nuestros clientes durante todos estos años. Por ello, hemos querido hacer una selección de ellas y mostrar como el trabajo y la profesionalidad son recompensados.















